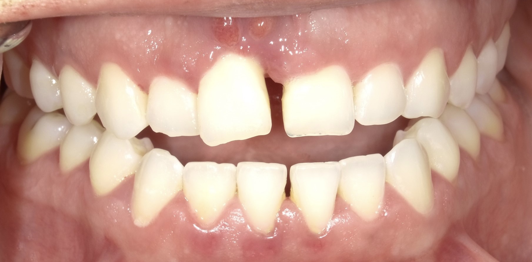
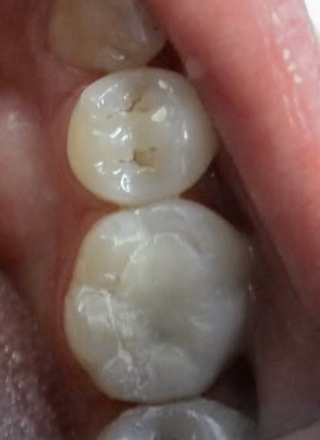
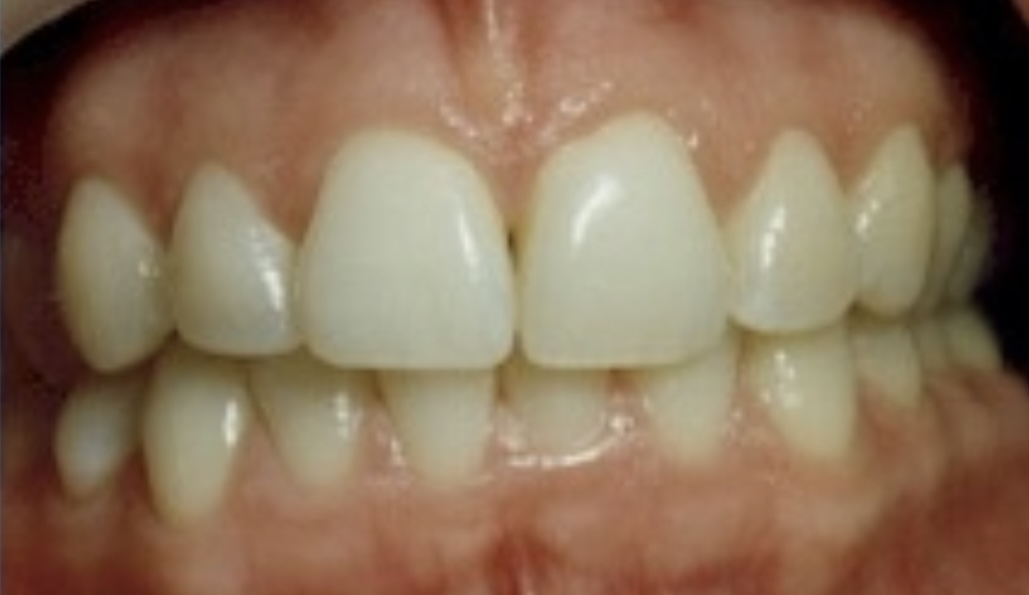
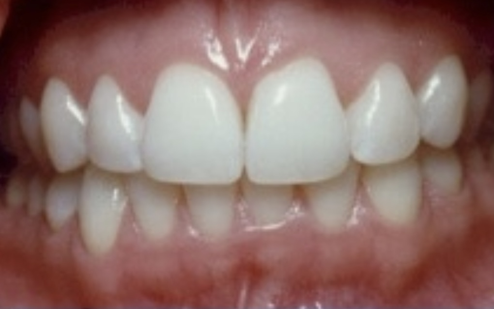
Explore the transformative results achieved by Dr. Alexander Gerskowitz, Dr. Paul Maeng and Dr. Miriam Natovich at Avant Garde Dental Arts! Our dentist and team take pride in creating beautiful, healthy smiles tailored to each patient’s unique needs. View our gallery to see examples of our exceptional work and the difference we can make. Contact us to schedule your consultation for dental care in Wayne and River Edge, New Jersey, and begin your journey to a confident, radiant smile.







